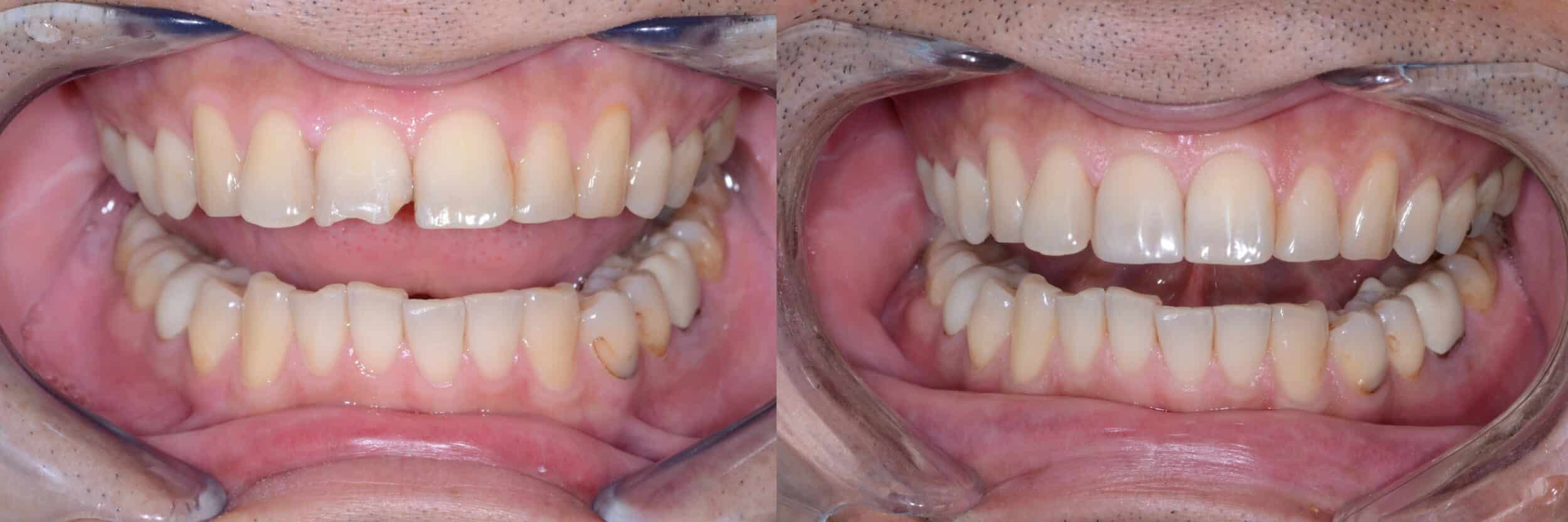
Composite Bonding

Case ID: 3606

Individual results may vary.

Other Dental Bonding by Dr. Shimizu Patients

Contact Us Today

*All indicated fields must be completed.
Please include non-medical questions and correspondence only.

OFFICE HOURS

Monday-Thursday: 8am - 5pm
Friday: 8am - 1pm

Accessibility Toolbar